Call me back
Gum disease therapy
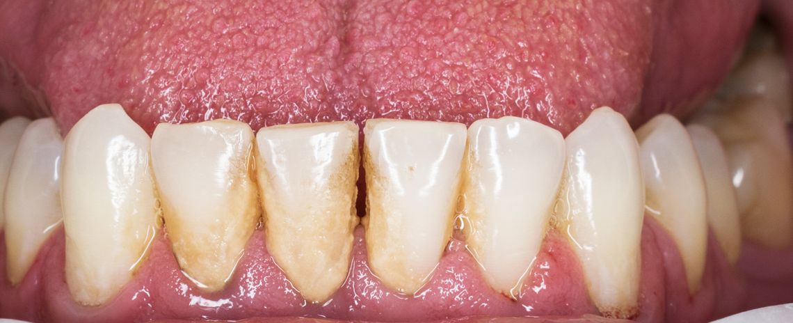
Gum disease is one of the most common oral diseases and affects people of all ages. Caused by a build-up of plaque and bacteria on the gum line, gum disease can lead to bleeding, inflammation and redness and if left to progress, can lead to tooth loss.
Gum disease can also be aggravated by:
- Smoking
- Lack of brushing or flossing
- If you have diabetes or other chronic diseases
- Certain medications
If you spot signs of gum disease you can initially treat these at home by stepping up your hygiene routine and using dentist-approved products. If your symptoms do not improve, your Transform Smiles dentist and dental hygienist will recommend a personal oral health plan to address your individual needs. Gum hygiene is important to ensure that your teeth remain supported and healthy.
Advanced gum disease
The first stage of gum disease, known as gingivitis, can be simple to reverse. However, if left to progress it can develop into a more advanced form of gum disease known as periodontitis, resulting in the formation of gaps between the gums and teeth, known as pockets. More plaque can collect in these pockets and thus continue the progression of the disease. As the pockets deepen, the plaque becomes more inaccessible to cleaning, more extensive and more toxic. This leads to increasing damage to the supporting bone around the roots of the teeth.
Periodontal treatment is provided by our specialist periodontist who will clean the pockets around teeth to prevent damage to surrounding bone. The majority of Periodontal treatment involves thoroughly cleaning the tooth root surface. However, advanced cases may it also involve surgical and restorative techniques.
After initial stabilisation of the condition has been achieved, a thorough lifelong home care regime is required to prevent future lapses, along with regular monitoring and maintenance from your dentist and dental hygienist.
If you are suffering with symptoms of gum disease book a review with our dental hygiene team today.
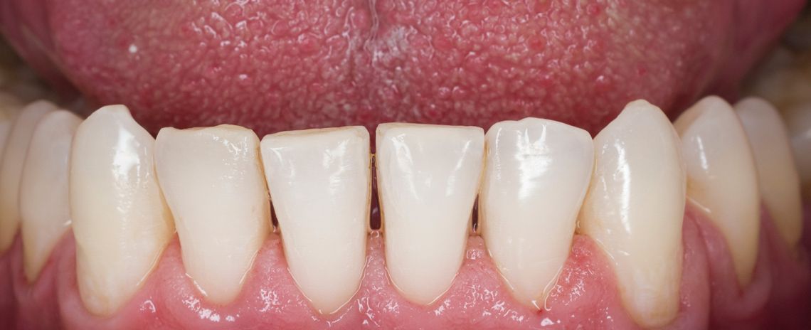
Before and after
 
 		People are talking about us
The biggest compliment we receive is when our patients refer their friends and family to Transform Smiles. In fact, we have built much of our practice on these valued, trusted recommendations over the years. Read our reviews to hear why our patients are recommending us… Leave us a google review
 
                     
                     
									 
								 
					 
					 
					 
					