Call me back
Denture stabilisation with dental implants
Serving patients throughout Chichester, Portsmouth and Southampton
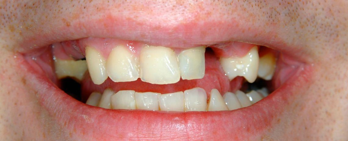
Many patients with no remaining teeth or teeth that need removal, do not want to wear conventional removable dentures. These traditional dentures can become uncomfortable and loose over time as the jawbone shrinks causing eating and speech problems.
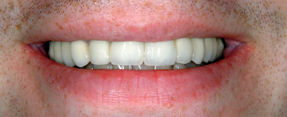
We offer an alternative solution at Transform Smiles using the latest technology and techniques that can change your life. Using dental implants to securely fix a denture in place we can recreate your natural smile with teeth that feel just like your own, restoring both your smile and your quality of life.
Dental implants help to maintain your facial structures by preserving the remaining bone in your jaws. This minimises wrinkles around the mouth by restoring lost lip-support and markedly improves your ability to chew. With dental implants, you can eat whatever you want and enjoy your food again!
Our implant dentist, our dentist will carefully place titanium implants into the jaw to replacing some of the original roots. Between 4 to 8 implants are needed to securely fix a denture in place.
The dental implants then need to be left for a short time for the bone and gum to heal around them before they can support the final denture. This can take between 3 to 6 months. Once that happens, the titanium becomes one with the bone around it, making the foundation for your denture extremely strong and stable. our dentist will then carefully craft and fit your replacement denture, ensuring it blends perfectly with your natural smile.
At Transform Smiles we can assist with all implant cases, from the simplest to the most complex. Our patients have the peace of mind that they can access progressive technology and benefit from a wealth of experience from our implant dentist, our dentist.
The benefits of implants
- Implants look and feel just like natural teeth – you shouldn’t notice any difference.
- With dental implants, replacement teeth are securely anchored without compromising any neighbouring healthy teeth.
- Implants won’t come loose or fall out.
- Implants prevent ageing bone loss, by stimulating your bone structure and stabilising the surrounding teeth.
- Implants can last for many years if you maintain good oral hygiene.
Are you suitable for treatment?
Patients must have healthy gums and enough jawbone to support dental implants. At your initial consultation our dentist will use x-rays and scans to establish if pre-treatment is required and will explain this further.
Some patients may need to see a hygienist for a course of treatment to ensure their gums are strong and healthy before the dental implant process can begin.
our dentist will also check that there is sufficient bone for an implant to be placed successfully at this initial consultation. If there is insufficient bone you may need to need pre-treatment before your dental implants can be placed. This may include oral surgery procedures such as bone grafting, bone expansion or sinus lifts.
To find out more about how dental implants could transform your life, give us a call on 01243 533019 to book a consultation with our dentist today!
 
							
						Before and after
 
 		People are talking about us
The biggest compliment we receive is when our patients refer their friends and family to Transform Smiles. In fact, we have built much of our practice on these valued, trusted recommendations over the years. Read our reviews to hear why our patients are recommending us… Leave us a google review
 
                     
                     
									 
								 
					 
					 
					 
					