Call me back
Veneers
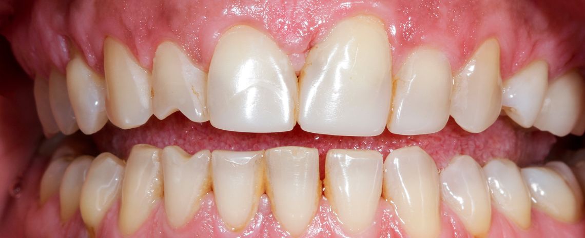
A veneer is a thin, custom-made shell that is used to cover the front surface of a tooth, usually made from porcelain. They look natural and healthy, and can improve the colour, shape and position of your teeth. They can hide stained, chipped, mis-shaped or crooked teeth, or cover gaps in teeth where orthodontic treatment may not be suitable.
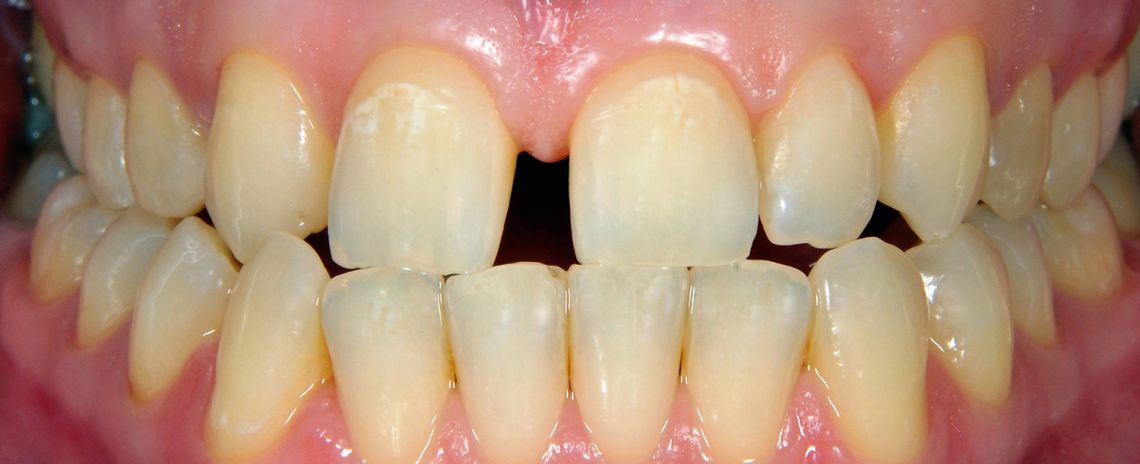
At Transform Smiles we use only the best materials and quality ceramic laboratories that have been tried and tested by thousands of patients. The procedure takes two appointments. At the first appointment, we shape your teeth as carefully and conservatively as possible and take a mould of the teeth to be veneered. Hand crafted temporary veneers are then placed on your teeth whilst your final veneers are being made. This allows you to ‘trial’ your new smile so that you can experience how your new smile will look and feel. If you want any changes to the shape or size at this stage, we can make adjustments so that you’re completely satisfied.
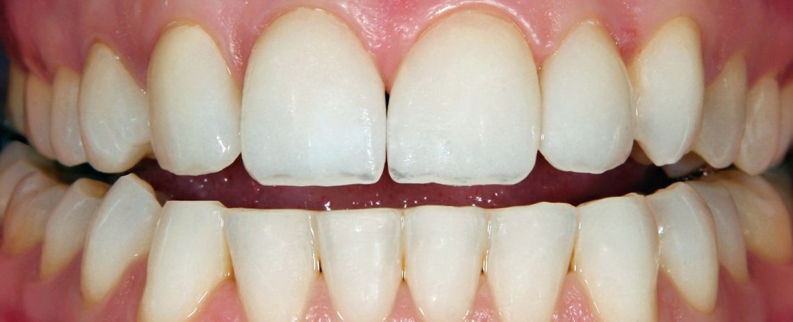
Once the veneers are ready, the temporary veneer is removed at your second appointment, and the permanent one fitted. Your Transform Smiles dentist will check the fit to ensure a correct bite and check your comfort, before securing in place.
Call us on 01243 533019 to book a consultation and discuss your smile makeover options.
Dentist
Daniel Quiney
Daniel graduated from Cardiff School of Dentistry in 2015. Prior to studying dentistry he graduated from Exeter University with an MEng in Mechanical Engineering. Daniel prides himself on his calm and caring approach. He always takes the time to listen to patients and make sure they fully understand. His gentle approach is ideal for anxious or phobic patients. Daniel enjoys providing routine care...
 
											Before and after
 
 		People are talking about us
The biggest compliment we receive is when our patients refer their friends and family to Transform Smiles. In fact, we have built much of our practice on these valued, trusted recommendations over the years. Read our reviews to hear why our patients are recommending us… Leave us a google review
 
                     
                     
									 
								 
									 
								 
									 
								 
									