Call me back
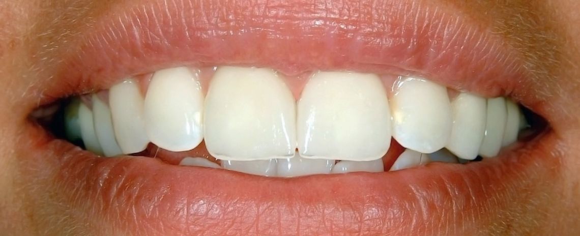
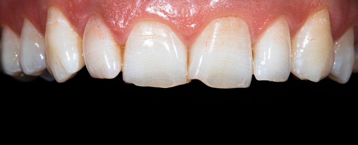
Crowns
Crowns are advised when it is necessary to protect, strengthen and restore teeth. They may also be used to cover discoloured or misshapen teeth to improve the overall appearance of your smile.
Available in a range of materials, our crowns permanently sit over the entire visible surface of your existing tooth and are made to look as real as your own natural tooth.
The procedure takes two appointments. At the first appointment, we minimally shape the tooth and place a temporary crown. About 14 days later at your second appointment, we remove the temporary crown, place your new crown and check the fit and your bite.
The crown can last for many years if good oral hygiene is maintained, depending on the condition of the original tooth. Additional care should be taken to keep the crown and surrounding area clean. Your Transform Smiles dentist or dental hygienist will recommend an appropriate home care regime.
Dentist
Daniel Quiney
Daniel graduated from Cardiff School of Dentistry in 2015. Prior to studying dentistry he graduated from Exeter University with an MEng in Mechanical Engineering. Daniel prides himself on his calm and caring approach. He always takes the time to listen to patients and make sure they fully understand. His gentle approach is ideal for anxious or phobic patients. Daniel enjoys providing routine care...
 
											Before and after
 
 		People are talking about us
The biggest compliment we receive is when our patients refer their friends and family to Transform Smiles. In fact, we have built much of our practice on these valued, trusted recommendations over the years. Read our reviews to hear why our patients are recommending us… Leave us a google review
 
                     
                     
									 
								 
									 
								 
									