Call me back
Clear aligners
Serving patients throughout Chichester, Portsmouth and Southampton
Clear aligners from Transform Smiles comfortable straighten your smile with discretion, precision and ease.
Our clear aligner dentist, our dentist, will carefully map your treatment plan, developing a series of clear aligners to achieve your new beautiful smile. You’ll need to wear each aligner for 1-2 weeks before changing for the next, to slowly and precisely guide your teeth into position.
With this revolutionary system results can be achieved in as little as 3 - 6 months, depending on the complexity of movement required.
Benefits clear aligners from Transform Smiles in Chichester:
- Removable
 Our clear aligners are removable, giving you the flexibility to remove them whilst eating and cleaning your teeth. It’s important to wear your aligners for the rest of the day and night however, in order to see the best results.
- Comfortable
 Custom made aligners for the best comfort and personal fit.
- Near invisible
 Our clear aligners are so discreet, it will be difficult to notice you are undergoing teeth straightening treatment.
 
							
						 
							
						3 simple steps to a beautifully aligned smile:
- Consultation and planning
 After an initial consultation our dentist will take photos, X-rays and digital scans, or a dental impression, of your teeth. These records will take precise measurements to make your custom made clear aligners for the most comfortable fit.
- Transformation
 After your aligners have been custom made, our dentist will fit them ensuring they fit well and are comfortable, so you can begin your straightening journey.
 You’ll need to return to see our dentist every 4 to 6 weeks to check on your progress and provide your next set of aligners, to slowly guide your teeth into position.
- Retaining your new smile
 Once your new smile is achieved, you’ll need to wear a retainer to ensure your teeth remain beautifully aligned. Retainers can either be removable clear trays, similar to a mouth guard, or a fixed retainer which are discreetly attached to the back of the teeth for continual support.
If you are looking for clear aligners in Chichester, Portsmouth and Southampton and want to know more about your options, get in touch to arrange a consultation at Transform Smiles.
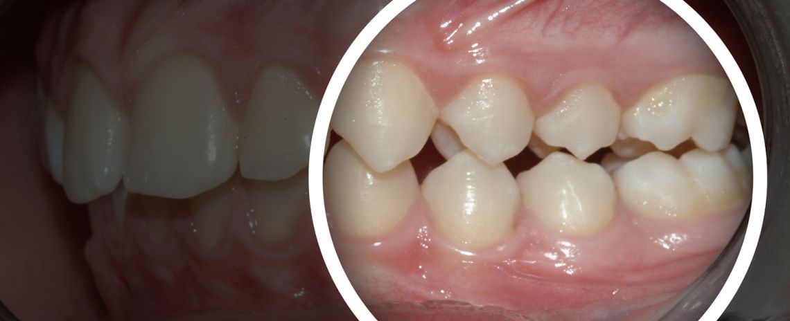
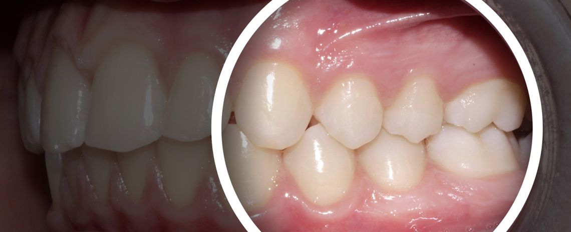
Before and after
 
 		People are talking about us
The biggest compliment we receive is when our patients refer their friends and family to Transform Smiles. In fact, we have built much of our practice on these valued, trusted recommendations over the years. Read our reviews to hear why our patients are recommending us… Leave us a google review
 
                     
                     
									 
								 
									